FAQs

Frequently Asked Questions

What kinds of problems can Cosmetic Dentistry address?

The dental situations cosmetic dentistry can possibly address include:

Before After Testimonial
Before & After

  • Missing teeth or spaces between teeth
  • Darkened, yellowed or grey, stained teeth
  • Crooked teeth or "mismatched" teeth
  • "Gummy" smiles, where a larger proportion of the gums show when smiling
  • Too small, too large, too short or too thin teeth
  • Changing silver amalgam fillings to natural appearing, tooth-colored restorations
  • Decayed (unhealthy) teeth
  • Old, unnatural-appearing crowns
  • Facial rejuvenation through reversing the ungraceful signs of aging teeth
  • Broken-down teeth

Back to top


What are porcelain veneers?

Porcelain veneers are made of a thin layer of porcelain which covers the front and biting surface of the tooth, and can be used on any upper or lower teeth that show when you smile.

Veneers may be used to "instantly" close spaces between teeth, straighten crooked teeth, brighten stained teeth or create better proportion in teeth.

One of the main advantages of using veneers instead of full crowns, when possible, is the minimal natural tooth removal in the preparation process.

Porcelain Veneers Before Work Porcelain Veneers Porcelain Veneers After Work Testimonial

Back to top


My teeth have become yellow over time. Would teeth bleaching help me?

Teeth Bleaching Before Testimonial Teeth Bleaching After Testimonial
Before & After

Bleaching is not for everyone. If your teeth have yellowed or darkened on the surface only because of staining due to coffee or smoking, bleaching may be able to lighten your teeth. However, if you have dark stains that are very deep in color (e.g. dark grey, dark brown, dark yellow, dark orange, or caused by tetracycline) or due to aging, bleaching may not work very well.

It’s always best to consult an "expert" cosmetic dentist first before beginning bleaching. You can then be advised if bleaching will help your specific dental problem or not. Conditions where bleaching probably should not be performed include patients with restorations in their front teeth, with gum disease, or with existing tooth decay.

Back to top


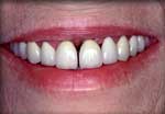
I have a darkened tooth in the front. What can be done to fix it?

Before Testimonial After Testimonial
Before & After

The darkening of the tooth may be caused by many situations, such as age, medication and tooth trauma. First the health status of the tooth and root needs be addressed. Then, an esthetic restoration can be placed.

In many situations, a porcelain restoration can correct this problem such that a natural-appearing outcome can be achieved.

Back to top


I show a lot of gums when I smile. How can this be corrected?

Show A lot of Gums Before Testimonial After Less Gummy Smile Testimonial
Before & After

smile

In the past the only way to remedy a "gummy smile", when a large amount of gums show in a smile, was to break and then reposition the upper jaw. Happily, these days there are less invasive solutions. Depending on an individual’s situation, minor gum sculpting and veneers may be done to show more tooth and less gums, resulting in a brighter, more balanced smile.

A beautiful smile can enhance the memories of a memorable occasion.

Back to top


My teeth are crooked in the front, but I don’t want to wear braces. Are there any other options?

Before Straightened Teeth Without Braces Testimonial After Straightened Teeth Without Braces Testimonial
Before & After

For the majority of patients, veneers may be a faster alternative to braces. Many patients of mine are in the public eye or in the media, and don’t want the teenager-like appearance of wearing braces.

Veneers can instantly "straighten" teeth that appear crooked, crowded, overlapping, or inset, in as few as 2 to 4 appointments instead of possibly 2 to 4 years with braces.

Back to top


How important is a nice smile for my personal and professional success?

​smile An American Academy of Cosmetic Dentistry (AACD) survey found:

  • More then 92% of adults agree that an attractive smile is an important social asset.
  • 88% say they always remember someone with an especially attractive smile.
  • 85% agree that an unattractive smile makes a person less appealing to people of the opposite sex.
  • 74% agree that an unattractive smile can hurt a person's chances for career success.
  • But, only half of Americans are satisfied with their smile.

Back to top


I am missing several teeth and have a removable "partial" denture. Is there a more permanent solution?

Before Partial Denture Smile (Testimonial) After Patient Testimonial (for Partial Dentures)
Before & After

Many patients dislike having to put in and remove a partial denture, and have a difficult time chewing and enjoying their food. Dental implants with restorations, as well as fixed bridges are more permanent solutions that can offer more stability, depending on a patient’s specific situation. Implants are titanium screws that rest securely in the bone. A crown or bridge can be placed on the implant, for a natural appearing, non-removable solution.

With implants, because of requirements of bone height and medical health, it’s important to consult a cosmetic dentist early to plan the optimal time to receive implants. For those who are unable to have implants placed, a bridge by itself may be placed over the area of missing teeth, secured firmly to the adjacent teeth.

Back to top


I have old crowns in my front teeth, and they’ve become black at the top. What can be done about this?

Before Crowns Testimonial After Crowns Testimonial
Before & After

Traditionally, crowns were created with a metal inner core for greater strength. With time, it was common for the metal to be revealed, showing a noticeable black line between the crown and gums. Unfortunately, the only solution to this black line is the replacement of the old metal-based crown. When correctly done, the end result is a beautiful, natural-appearing restoration that maintains its appearance and strength through the years.

The good news is state-of-the-art materials allow porcelain crowns to now be made without metal.

Back to top


I have silver fillings that are very old, and I want to have them changed. What can be done?

Silver Fillings Before Testimonial After Fillings Testimonial
Before & After

Traditionally, crowns were created with a metal inner core for greater strength. With time, it was common for the metal to be revealed, showing a noticeable black line between the crown and gums. Unfortunately, the only solution to this black line is the replacement of the old metal-based crown. When correctly done, the end result is a beautiful, natural-appearing restoration that maintains its appearance and strength through the years.

The good news is state-of-the-art materials allow porcelain crowns to now be made without metal.

Back to top


I was told that after the first "preparation" appointment for my veneers, I will have "temporary" restorations until my final appointment. What will my smile look like with "temporaries"?

In our office, you have no cause for concern. Dr. Okuda will create attractive "temporary" restorations, that look similar to your final restorations. In fact, we have patients who are models or pageant winners who have gone to photo shoots with their temporary restorations, and because their smile looked so natural, no one knew! At our practice, you can look forward to looking fantastic every time you leave our office.

Believe it or not, these patients are wearing temporaries!

smile Temporary Dental Smile Temporary Dental Smile

Back to top