Honolulu Oahu HI Minimal Invasive Composites

Minimal Invasive Composites

Composites Before Before  Composites After After

After getting hit with a baseball, this 14 year old boy was instantly given his smile back. Conservative composite veneers were placed. Requires minimal to no tooth removal, and the results are very natural. (created in 1 visit)


Composites Before Before  Composites After After

This financial advisor felt like all his old fillings made him look like he had food stuck in his teeth. Very conservative composite resin was used and the patient has his old smile back. (created in 1 visit)


Composites Before Before  Composites After After

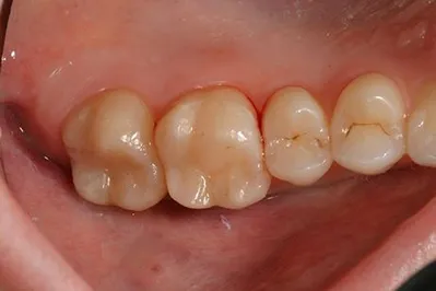
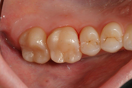
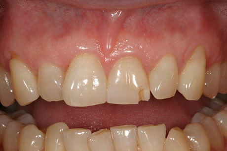
A small chip can feel HUGE in the mouth, this conservative composite resin filling was placed to make the tooth appear normal again. (created in 1 visit)


Composites Before Before  Composites After After

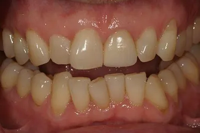
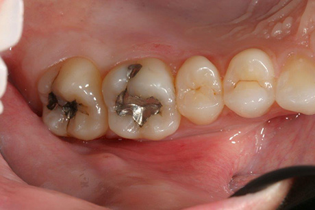
Patients are always asking about replacing their old amalgam fillings. We have conservative restorations that can be used in a situation like this. Dr. Okuda removed the old silver and replaced it with composite resin used for these fillings. (created in 1 visit)


Composites Before Before  Composites After After

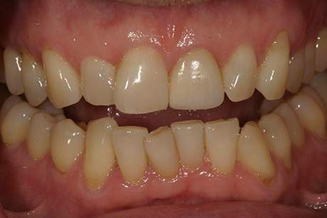
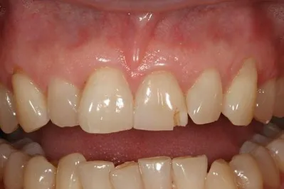
This 16 year old young lady got an elbow in the mouth causing her front tooth to die and turn dark. A conservative composite veneer was placed to give her back her smile just in time for the prom. (created in 1 visit)


Composites Before Before  Composites After After

This 17 year old gal was born with a genetically defective tooth, after placing a conservative composite veneer, she was able to smile with confidence during her graduation speech. (created in 1 visit)


Composites Before Before  Composites After After

This 17 year old gal was genetically born with missing and deformed teeth. Dr. Okuda was able to create conservative composite restorations to give her back a complete and beautiful smile. (created in 1 visit)